Teeth Whitening Brightens Your Smile
- DrA Persky/Dr.S Battaglin
- Nov 25, 2017
- 1 min read
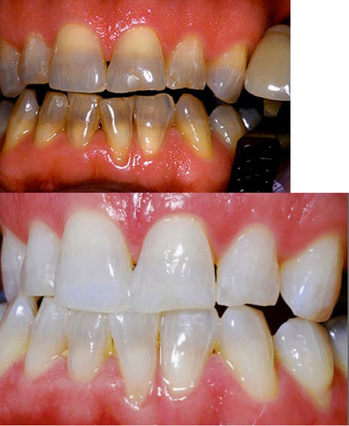
Smilesketch uses KOR Whitening as its first choice in bleaching products.
Now and then, everyone and everything needs a little help to look its best. Your teeth are no exception — they rarely stay as white as you might like them to be. But with some assistance from your dentist, you can have the bright, healthy smile you've always wanted.
Teeth whitening is an effective and affordable cosmetic dental procedure that can produce dramatic results right away. With in-office whitening, for example, your teeth can be up to eight shades brighter after just one treatment! Take-home whitening treatments, with custom-made trays fitted in your dentist office, provide similar results in a longer time frame. Either way, you'll see the kind of improvement that will really make you smile.
Don't confuse this specialized treatment with over-the-counter products or shopping-mall services. These may work — or they may do damage! Having an oral exam is the first step, to ensure that tooth discoloration isn't due to any underlying dental problem. From then on, your treatment is professionally supervised to make certain that you get the lightening you want, safely.
Learn more by reading the Dear Doctor magazine article “Teeth Whitening.”














Comments